RESUMEN

Las anomalías congénitas de las arterias coronarias son poco frecuentes y corresponden en su mayoría a alteraciones en el origen y trayecto de los vasos coronarios. Se presenta el caso de un paciente pediátrico de 8 años con síndrome febril prolongado y manifestaciones mucocutáneas, en quien se planteó la sospecha clínica de enfermedad de Kawasaki incompleta. Durante el proceso diagnóstico y la evaluación por imágenes se identificó, como hallazgo incidental, un origen anómalo de la arteria coronaria derecha a partir del seno coronario izquierdo, con trayecto interarterial y reducción significativa de su calibre proximal. Se describen los hallazgos imagenológicos, su relevancia anatómica y los riesgos clínicos asociados, destacando el valor educativo de la angiotomografía coronaria en la correcta caracterización de la anatomía coronaria y en la diferenciación entre anomalías congénitas y posibles dilataciones adquiridas en el contexto de enfermedad inflamatoria sistémica.


PALABRAS CLAVE
arterias coronarias
anomalías congénitas
tomografía computarizada
enfermedad de Kawasaki
muerte súbita


Anomalous origin of the right coronary artery with interarterial course, an incidental finding in a pediatric patient with Kawasaki disease: report of a case



ABSTRACT

Congenital anomalies of the coronary arteries are uncommon and mostly involve abnormalities in the origin and course of the coronary vessels. We present the case of an 8-year-old pediatric patient with prolonged febrile syndrome and mucocutaneous manifestations, in whom incomplete Kawasaki disease was clinically suspected. During the diagnostic workup and imaging evaluation, an anomalous origin of the right coronary artery from the left coronary sinus, with an interarterial course and significant proximal narrowing, was incidentally identified. The imaging findings, their anatomical relevance, and the associated clinical risks are described, highlighting the educational value of coronary CT angiography in accurately characterizing coronary anatomy and differentiating congenital anomalies from potential acquired dilatations in the context of systemic inflammatory disease.


PALABRAS CLAVE
Coronary arteries
congenital anomalies
computed tomography
Kawasaki disease
sudden death


INTRODUCCIÓN

La enfermedad de Kawasaki es una vasculitis sistémica aguda que afecta predominantemente a niños pequeños y puede comprometer las arterias coronarias, dando lugar a dilataciones o aneurismas con potencial riesgo de trombosis e isquemia miocárdica1,2. En paralelo, las anomalías congénitas de las arterias coronarias constituyen entidades infrecuentes, con una incidencia estimada entre el 0,5% y el 1% en la población general, y pueden cursar de forma asintomática o manifestarse con angina, arritmias ventriculares o muerte súbita, especialmente en pacientes jóvenes3,4.

Entre estas anomalías, el origen anómalo de la arteria coronaria derecha desde el seno coronario izquierdo con trayecto interarterial se considera de alto riesgo debido a la posible compresión dinámica del vaso entre la aorta y la arteria pulmonar durante la sístole, lo que puede condicionar isquemia miocárdica y eventos arrítmicos graves4-6. La correcta caracterización anatómica de estas variantes es fundamental para establecer su significancia clínica y definir la conducta terapéutica4-6.

Las modalidades de imagen disponibles incluyen ecocardiografía, angiotomografía coronaria, resonancia magnética cardíaca y arteriografía coronaria. La angiotomografía coronaria multidetector ofrece un alto detalle anatómico del origen, trayecto y relaciones extracoronarias, siendo especialmente útil cuando existen dudas anatómicas en la ecocardiografía o cuando se requiere una evaluación integral del árbol coronario6,7.


DESCRIPCIÓN DEL CASO

Paciente masculino de 8 años, sin antecedentes personales de relevancia, quien consultó a un centro de primer nivel de complejidad, por un cuadro de 8 días de evolución caracterizado por fiebre persistente, malestar general, disfagia, dolor abdominal, intolerancia a la vía oral, hiperemia conjuntival, lengua aframbuesada y exantema en cuello y tórax. Ante la persistencia del síndrome febril y la presencia de manifestaciones mucocutáneas, se consideró la sospecha clínica de enfermedad de Kawasaki incompleta, y se decidió su remisión a un centro de mayor complejidad para evaluación especializada.

Al ingreso en el centro de referencia, los estudios de laboratorio mostraron elevación de reactantes de fase aguda, sin alteraciones hematológicas significativas. Se consideraron como diagnósticos diferenciales escarlatina, faringitis estreptocócica, infección por adenovirus y otras causas de síndrome febril prolongado en edad pediátrica.

El paciente no había recibido antibioticoterapia previa.

Se inició tratamiento con inmunoglobulina intravenosa en dosis estándar de 2 g/kg en infusión única, asociado a ácido acetilsalicílico. Posteriormente, el paciente presentó mejoría clínica con resolución progresiva de la fiebre, y se decidió vigilancia hemodinámica en unidad de cuidados intermedios.

El ecocardiograma transtorácico realizado no evidenció cardiopatía estructural ni alteraciones de la función sistólica o diastólica. Las medidas coronarias informaron una arteria coronaria derecha de 1,9 mm (Z-score: -0,7) y una arteria coronaria izquierda de 2,9 mm (Z-score: +2,1)

Ante la duda anatómica sobre el origen y trayecto proximal de la arteria coronaria derecha en la ecocardiografía, se solicitó una angiotomografía coronaria para una mejor caracterización morfológica.

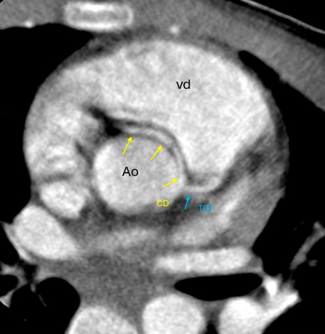
La angiotomografía coronaria demostró un origen anómalo de la arteria coronaria derecha a partir del seno coronario izquierdo, con trayecto interarterial entre la aorta y el tronco de la arteria pulmonar, asociado a una reducción aproximada del 50% del calibre en su segmento proximal (Fig. 1). Adicionalmente se observó leve dilatación difusa del tronco coronario izquierdo y del segmento proximal de la arteria circunfleja, sin evidencia de aneurismas ni estenosis en los segmentos medio y distal (Figs. 2 y 3).

El caso fue evaluado en junta multidisciplinaria por Cardiología clínica, Imagen cardiovascular y Hemodinamia, concluyéndose la necesidad de una evaluación dinámica adicional mediante cateterismo cardíaco diagnóstico o resonancia magnética cardíaca con reconstrucción tridimensional, con el objetivo de confirmar el grado de compresión extrínseca y valorar la repercusión sobre la perfusión miocárdica dependiente de la arteria coronaria derecha. Se decidió la remisión del paciente a un centro cardiovascular especializado para seguimiento y eventual definición terapéutica.

Figura 1. Angiotomografía computarizada de arterias coronarias con corte axial a la altura de los grandes vasos, que muestra arteria coronaria derecha (CD) con origen del seno coronario izquierdo, trayecto interarterial que reduce su diámetro en más de un 50% con respecto al segmento siguiente. No se observan zonas de estenosis o dilataciones en los segmentos medio, distal y DP. Vd: ventrículo derecho, Ao: aorta abdominal, CD: coronaria derecha, TCI: tronco coronario izquierdo, DP: arteria descendente posterior.

Figura 2. Medición axial del tronco coronario izquierdo (TCI) que muestra origen y trayecto habitual, dilatación difusa del segmento proximal distal, sin zonas de estenosis. TAP: tronco de arteria pulmonar.

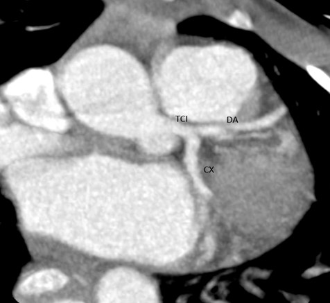
Figura 3. Se evidencia arteria circunfleja de origen y trayecto habitual, segmento proximal con ligera dilatación difusa, primer ramo obtuso sin lesiones, segmento distal sin lesiones. Arteria descendente anterior con origen y trayecto habitual, sin evidencia de enfermedad ateroesclerótica, zonas de estenosis o dilataciones en sus tres segmentos, primer y segundo ramo diagonal sin lesiones, primer ramo septal sin lesiones. CX: arteria circunfleja, DA: arteria descendente anterior.

Tras su remisión al centro cardiovascular de mayor complejidad, el paciente fue valorado por el Servicio de Cardiología pediátrica. Se confirmó el origen anómalo de la arteria coronaria derecha con trayecto interarterial como hallazgo anatómico relevante, sin evidencia clínica de isquemia miocárdica ni compromiso hemodinámico agudo al momento de la evaluación.

De acuerdo con la estabilidad clínica del paciente y la ausencia de síntomas cardiovasculares, la junta multidisciplinaria decidió una conducta expectante, con seguimiento cardiológico ambulatorio estrecho y recomendaciones de restricción de actividad física intensa hasta completar la evaluación evolutiva. Se programaron controles ecocardiográficos seriados para la monitorización de la anatomía coronaria proximal y de la función ventricular, así como la revaluación clínica periódica para definir oportunamente la necesidad de estudios complementarios o intervenciones terapéuticas adicionales.


DISCUSIÓN

La identificación de anomalías congénitas del origen y trayecto de las arterias coronarias representa un desafío diagnóstico, particularmente en el contexto de enfermedades inflamatorias sistémicas como la enfermedad de Kawasaki, donde las dilataciones adquiridas pueden simular o enmascarar variantes anatómicas congénitas7,8.

En series clínicas se ha señalado que algunas anomalías congénitas pueden interpretarse erróneamente como “dilataciones” coronarias durante la evaluación ecocardiográfica de pacientes con sospecha de enfermedad de Kawasaki, lo que refuerza la necesidad de una adecuada correlación anatómica cuando existen hallazgos atípicos8.

El origen anómalo de la arteria coronaria derecha desde el seno coronario izquierdo con trayecto interarterial es considerado una variante de alto riesgo debido a la posibilidad de compresión dinámica durante la sístole, lo que puede generar isquemia miocárdica y predisponer a arritmias malignas o muerte súbita en pacientes jóvenes4-6.

En el presente caso, la angiotomografía coronaria permitió una caracterización anatómica precisa del origen y trayecto coronario, así como de sus relaciones con las grandes arterias, aportando información crítica para la estratificación de riesgo y la planificación diagnóstica/terapéutica6,7. Desde un punto de vista educativo, este hallazgo resalta la importancia de incluir variantes congénitas dentro del diagnóstico diferencial ante hallazgos coronarios no concluyentes en pediatría, y de reservar la tomografía coronaria para escenarios de duda anatómica o necesidad de mapeo detallado del árbol coronario6,7.

La evaluación dinámica mediante resonancia magnética cardíaca o cateterismo continúa siendo fundamental para definir la indicación quirúrgica en aquellos pacientes con evidencia de compresión significativa y/o repercusión hemodinámica4,6.


CONCLUSIÓN

El presente caso destaca el valor diagnóstico e imagenológico de la angiotomografía coronaria en la identificación incidental de una anomalía congénita del origen de la arteria coronaria derecha con trayecto interarterial en un paciente pediátrico con sospecha clínica de enfermedad de Kawasaki incompleta. La correcta caracterización anatómica de estas variantes resulta esencial para establecer su relevancia clínica, orientar la conducta terapéutica y prevenir potenciales complicaciones mayores, incluyendo isquemia miocárdica y muerte súbita4,6.