INTRODUCCIÓN


En la semana epidemiológica (SE) 48 del año 2023 se constató en la Argentina la presencia de encefalitis equina del Oeste (EEO) en equinos en varias provincias del país, enfermedad viral que también puede afectar al ser humano. La EEO es una infección causada por un virus ARN del género Alphavirus, familia Togaviridae, de transmisión vectorial por mosquitos pertenecientes a distintos géneros. Los huéspedes reservorios son principalmente aves y roedores, mientras que los equinos y los seres humanos son huéspedes incidentales.1,2

En la Argentina se han identificado brotes en equinos, asociados a casos humanos, en 1972/73 y 1982/19833. En la SE 51 del año 2023, el Ministerio de Salud de la Nación notificó el primer caso de encefalitis equina del Oeste en seres humanos. Desde esa fecha y hasta el 23/3/2024 (SE 13) se notificaron al Sistema Nacional de Vigilancia de la Salud 465 casos sospechosos en 17 provincias y 121 fueron positivos; todos requirieron hospitalización y se registraron 10 fallecidos. Gran porcentaje de los afectados presentaron relación con ambientes rurales (residencia, actividades laborales o recreativas), así como también contaban con comorbilidad previa (diabetes, enfermedad oncológica, hipertensión arterial, entre otras). Los casos fallecidos se dieron en personas de entre 36 y 74 años y el 92% corresponden a sexo masculino. En cuanto a la Provincia de Buenos Aires desde la SE 48/2023 hasta SE 13/2024 se notificaron 274 casos sospechosos de EEO, de los cuales se confirmaron 58 casos y 20 probables. De los casos positivos, 3 fallecieron; todos vivían en zona rural y dos de ellos tenían comorbilidades. En la ciudad de Junín (Buenos Aires) nos enfrentamos a la sospecha de 4 casos, con confirmación de 3 de ellos, 1 fallecido, 1 dado de alta y 1 que permanece en Unidad de Terapia Intensiva desde el 26/12/2023. El período de incubación de la enfermedad es de 2 a 10 días. La mayoría de los casos son asintomáticos o cuadros leves inespecíficos (fiebre, astenia, mialgias, malestar general), que se resuelven espontáneamente en 7 a 10 días. Las infecciones sintomáticas son poco comunes, pero pueden ser graves caracterizándose por síntomas neurológicos que pueden ir desde cefalea, vómitos, temblores generalizados (manos, labios y lengua), debilidad, hasta rigidez de nuca, deterioro del sensorio, convulsiones, espasticidad y coma, dejando secuelas neurológicas permanentes (convulsiones, deterioro cognitivo, espasticidad) que alcanzan hasta a un 30% de los pacientes, principalmente niños. La mortalidad en humanos es de un 3 o 4%4.

La detección del ARN viral se realiza en muestras de suero y líquido cefalorraquídeo (LCR) por reacción en cadena de la polimerasa con transcriptasa inversa (RT-PCR), donde un resultado positivo confirma la infección. Sin embargo, la viremia en las infecciones por el virus de la EEO es baja y de corta duración. Además, si el caso se detecta en la fase neurológica es probable que el virus ya no esté presente en la sangre. Por lo tanto, un resultado negativo no descarta la infección y, ante la sospecha clínica y epidemiológica, se deben usar métodos serológicos, como la detección de anticuerpos IgM por ELISA usando metodologías caseras (in house)2,3. Las neuroimágenes arrojan características específicas en relación con otras encefalitis como cambios inflamatorios en tálamo o ganglios basales. No hay vacuna para los seres humanos ni tratamiento antiviral específico. El manejo de los casos incluye reposo, hidratación adecuada y terapia sintomática. Su notificación debe ser inmediata y obligatoria3,5.

Con este informe de caso se pretende explorar un caso específico de EEO del Hospital Dr. A. Piñeyro de Junín y comprender su complejidad clínica y limitaciones en el tratamiento en presentaciones graves, identificando barreras terapéuticas y consecuencias a largo plazo.


CONSENTIMIENTO INFORMADO


Se obtuvo el consentimiento informado de los cuidadores del paciente para la publicación de este caso, asegurando la confidencialidad de la información y el cumplimiento de los principios éticos en la divulgación de datos clínicos.

PRESENTACIÓN DEL CASO


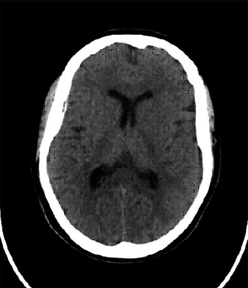
Se presenta el caso de paciente masculino de 47 años con antecedentes de diabetes tipo 2 en tratamiento con hipoglucemiantes orales, de profesión trabajador rural. Ingresa en el Servicio de Emergencias el 26 de diciembre de 2023 por cuadro de delirio asociado a fiebre de 72 horas de evolución (cabe destacar que consultó 48 horas antes por síndrome febril sin foco, el cual fue tratado sintomáticamente con dexametasona y dipirona). Al examen físico se encuentra febril, vigil, desorientado en tiempo, espacio y persona, con trastorno conductual con hiperactividad psicomotriz, discurso desorganizado, temblor esencial en manos y facie, pupilas isocóricas reactivas y simétricas, difícil evaluación de signos meníngeos por el estado el paciente. Ante este cuadro se procede a la realización de pruebas diagnósticas incluyendo laboratorio (pedido de LCR con microbiológico, fisicoquímico y pruebas serológicas para detección del virus de EEO), tomografía de cerebro (que no evidencia lesiones hemorrágicas agudas ni edema cerebral), radiografía de tórax (sin alteraciones parenquimatosas). La punción lumbar informa un líquido cefalorraquídeo incoloro, límpido, con proteinorraquia (1,15 /dL), leucocitosis (60/mm3) con neutrofilia (70%) y lactato aumentado (46,2 mg/dL). La tomografía de ingreso no evidencia signos de sangrado ni desplazamiento de las estructuras medias, con cavidades ventriculares de topografía normal, sin lesiones focales, sin colecciones (Fig. 1). Se solicita electroencefalograma a la espera de los resultados de laboratorio. El electroencefalograma evidenció ritmo alfa occipital, sin asimetrías, tampoco evidencia actividad epileptiforme (Fig. 2). El paciente evoluciona con deterioro del sensorio, requiriendo intubación orotraqueal con posterior traslado a Unidad de Terapia Intensiva. Se inicia tratamiento empírico con aciclovir, ceftriaxona y corticoides sistémicos.

A pesar del tratamiento de sostén, el paciente presenta una evolución tórpida, febril persistente, manteniéndose en asistencia respiratoria mecánica en presión soporte, traqueostomizado, vigil, sin respuesta a órdenes simples, a pesar de encontrarse sin sedación. Se solicita evaluación por Servicio de Neurología, el que sugiere diagnósticos diferenciales de EEO vs. síndrome de encefalopatía posterior reversible (PRES) vs. secuelar de encefalitis vs. síndrome de enclaustramiento, sugiriendo realización de resonancia magnética nuclear (RMN), la cual no es posible de realizar por el estado clínico del paciente que impide su traslado para ese complejo estudio.

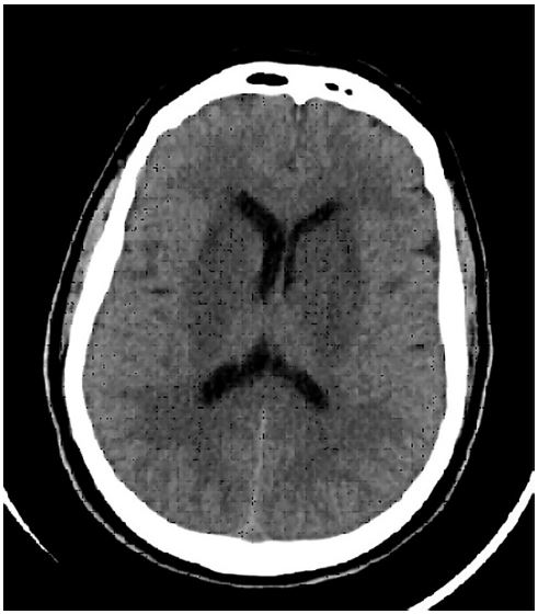
El 4 de enero del año 2024 se confirma el diagnóstico de EEO mediante la detección de anticuerpos IgM anti-EEOV (virus de encefalitis equina del Oeste) y genoma viral EEOV en LCR. El 16 de enero de 2024 se realiza traqueotomía y se da inicio al weaning respiratorio. Hacia el 2 de febrero de 2024, el paciente sigue sin mejoría del cuadro clínico, vigil, sin conexión con el entorno, polineuropático. Se repite la tomografía de cerebro (por encontrarse en desperfecto el resonador). Esta informa hipodensidad difusa de la sustancia blanca supratentorial y en focos más acentuados en la sustancia blanca córtico- subcortical a nivel de la convexidad cerebral, con hipodensidad difusa bilateral y simétrica de los núcleos grises de la base (Fig. 3). El paciente continúa traqueostomizado, con dificultad para el destete, ventilado con presión soporte/CPAP, sin requerimiento de inotrópicos, diuresis conservada por sonda, hemodinámicamente estable, vigil, apertura ocular espontánea, reflejo de succión como único reflejo arcaico, sin conexión con el medio que lo rodea, con estado de conciencia mínimo.

El día 10 de abril del año 2024 el paciente fallece por complicaciones de internación prolongada en Unidad de Terapia Intensiva.



Figura 1. Tomografía realizada el día de ingreso del paciente en Sala de Emergencias.



Figura 2. Electroencefalograma al ingreso del paciente en Sala de Emergencias.



Figura 3. Tomografía del paciente luego de un mes y 7 días de evolución.