INTRODUCCIÓN


La endometriosis es una afección ginecológica muy común que implica la presencia de tejido endometrial ectópico. Raramente afecta al tracto gastrointestinal como en el caso que se presenta a continuación. Su forma de presentación como oclusión intestinal es aún más rara e implica la intervención quirúrgica con resección del segmento afectado. Esta situación representa un desafío en el diagnóstico y su manejo, dado que no se puede descartar la causa oncológica. La oclusión intestinal en pacientes con endometriosis no solo resalta los efectos sistémicos de esta enfermedad, sino también destaca la importancia de una evaluación clínica exhaustiva y el enfoque multidisciplinario de ella.


CASO CLÍNICO


Se presenta el caso de una paciente de 56 años que consultó al Servicio Médico de Urgencias por dolor abdominal generalizado de 24 horas de evolución, asociado a distensión, náuseas, vómitos y ausencia de eliminación de gases. Como antecedentes médicos de relevancia refería episodios aislados de dolor abdominal autolimitados, sin otras enfermedades ni antecedentes quirúrgicos. Al examen físico, la paciente se encontraba estable hemodinámicamente, taquicárdica, con el abdomen blando, distendido, doloroso a la palpación profunda.

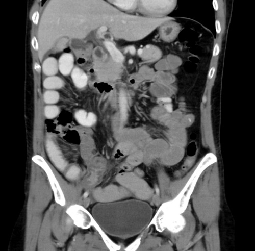
Como estudio complementario se solicitó un laboratorio que evidencia leucocitosis (13 000 glóbulos blancos). Además, se realizó una ecografía abdominal que informa distensión de asas de delgado asociado a líquido libre interasas, por lo que se solicitó una tomografía abdominopélvica con contraste intravenoso. Esta evidenció distensión de asas del delgado con contenido líquido en su interior, edema submucoso en íleon distal y líquido libre en pelvis (Fig. 1).




Figura 1.Tomografía computarizada abdominopélvica que evidencia transición asa fina-asa gruesa en íleon distal.



Se interpretó en primera instancia como oclusión de intestino delgado, por lo que se colocó sonda nasogástrica a descarga, reposo digestivo y un plan de hidratación parenteral. Debido a la reagudización del dolor y empeoramiento del estado general de la paciente, se decidió realizar laparoscopia exploradora. Esta no evidenció carcinomatosis peritoneal pero sí gran distensión de asas, por lo que se decidió su conversión a cirugía convencional. En la exploración se evidenció tumoración estenosante a 5 cm de la válvula ileocecal, sin poder determinar macroscópicamente etiología maligna o benigna. Se realizó hemicolectomía derecha con ileotransversoanastomosis laterolateral isoperistáltica con sutura mecánica y se colocó un drenaje quirúrgico a la anastomosis (Fig. 2).




Figura 2.Pieza quirúrgica que evidencia sitio de estenosis en íleon distal próximo a válvula ileocecal.



Cursó un posoperatorio inmediato con buen manejo del dolor a expensas de catéter peridural de analgesia. En las primeras 48 horas se progresó a dieta, con adecuada tolerancia, se retiró el catéter peridural con buen manejo del dolor posterior. Se otorgó el alta hospitalaria al 4.o día de posoperatorio. Durante el seguimiento por ambulatorio no presentó intercurrencias.

La anatomía patológica de la pieza quirúrgica informó presencia de glándulas de tipo müllerianas con estroma hipercelular, hallazgo compatiblecon endometriosis. Se obtuvo el consentimiento informado de la paciente para el procedimiento quirúrgico y la divulgación científica del caso. Se respetaron los principios de la Declaración de Helsinki.


DISCUSIÓN


La endometriosis es una patología ginecológica muy frecuente: se puede determinar una prevalencia de 10-15% en aquellas en edad reproductiva1. Esta enfermedad se define por la presencia de tejido endometrial fuera de la cavidad uterina; la teoría de la menstruación retrógrada de Apson es la más aceptada2.

Tales implantes extrauterinos pueden ser intraperitoneales (ovarios y ligamentos uterosacros, los más frecuentes) o extraperitoneales (vagina, vulva y periné). Entre los intraperitoneales, la endometriosis del tracto gastrointestinal o intestinal, descripta por primera vez en 1950 por Marshak y cols.3, tiene una prevalencia de aproximadamente el 5% de las mujeres con dicha patología, y afecta en mayor medida al recto-sigma (70%) y con menor frecuencia al íleon terminal (7%), válvula ileocecal y apéndice (3-18%)3,4.

Clínicamente puede cursar de forma asintomática o presentarse con síntomas inespecíficos, como el dolor abdominal recurrente que puede vincularse con el ciclo menstrual. A su vez, la incidencia de obstrucción intestinal es inferior al 1%, siendo más frecuente en la unión recto-sigma y menos del 0,7% en intestino delgado1,2.

La afectación mucosa es rara, mientras que el compromiso seroso es frecuente. Por ello, la afectación de la mucosa del colon histológicamente se explica a partir de la invasión de células endometriales a través de la pared intestinal. Esto provoca la liberación de mediadores inflamatorios (prostaglandinas, citocinas e interleucinas) que aumenta la presencia de fibroblastos y la consecuente fibrosis fibromuscular, que puede ocluir la luz intestinal. En mujeres posmenopáusicas, la endometriosis puede ser menos activa debido a la disminución de los niveles séricos de estrógenos, pero aún puede causar síntomas significativos si hay lesiones residuales que afectan al intestino. En casos de oclusiones parciales crónicas, su estudio con resonancia magnética y la solicitud del marcador tumoral CA-125 son orientadores en su etiología3,5,6.

El diagnóstico presuntivo requiere un alto índice de sospecha, ya que puede simular un carcinoma de colon, por lo que ‒a pesar de las imágenes preoperatorias (tomografía computarizada abdominopélvica) y los hallazgos quirúrgicos‒ los resultados definitivos estarán dados por la anatomía patológica2,7. Es por esto que la laparoscopia exploradora o diagnóstica es el procedimiento de referencia (estándar de oro). Sin embargo, la sospecha de malignidad hará que la conducta sea de una cirugía oncológica2.

El tratamiento en aquellos casos agudos o complicados, abarcará la resección del segmento afectado junto al mesocolon y mesenterio, seguido de la anastomosis intestinal4. Tal como se ha mencionado, la extensión de la resección depende de la sospecha intraoperatoria de enfermedad maligna como diagnóstico diferencial. En aquellos casos en que no exista sospecha oncológica, no será necesaria la resección del meso correspondiente. El tratamiento médico posquirúrgico (danazol) no ha demostrado beneficios y se reserva para aquellas pacientes que no pueden ser operadas1,3. En aquellas pacientes sin signos de obstrucción completa, puede intentarse en primera instancia el tratamiento médico2 o, también, la dilatación endoscópica8. Esta última terapéutica tiene como ventaja actuar de ventana hasta la cirugía para la optimización del balance hidroelectrolítico de la paciente. Sin embargo, se suelen requerir varias sesiones para permitir la permeabilidad intestinal, no está exenta de riesgos y, además, suele finalizar igualmente en una resección intestinal quirúrgica8.


CONCLUSIÓN


En conclusión, este caso representa la complejidad diagnóstica y terapéutica de la endometriosis intestinal, debido a la inespecificidad del cuadro clínico y a que la conducta quirúrgica, con la consecuente extensión de la resección, estará determinada por el grado de índice de sospecha de esta rara patología. Además, se resalta la importancia de un enfoque multidisciplinario que combine hallazgos clínicos, imagenológicos, quirúrgicos y anatomopatológicos para llegar a un diagnóstico definitivo.